Διαβρωτική οστεοαρθρίτιδα (erosive osteoarthritis)

ΕΙΣΑΓΩΓΗ
Η διαβρωτική οστεοαρθρίτιδα (ΔΟΑ) είναι μια μορφή οστεοαρθρίτιδας, χαρακτηριζόμενη από μεγαλύτερο βαθμό φλεγμονής από την «παραδοσιακή» οστεοαρθρίτιδα και από την παρουσία ακτινολογικών οστικών διαβρώσεων. Η ΔΟΑ πρωτοπεριγράφηκε από τους Kellgren και Moore (1952), αλλά ο όρος «διαβρωτική οστεοαρθρίτιδα» καθιερώθηκε το 1966 από τον Peter και συνεργάτες.Κλασικά, η ΔΟΑ περιγράφεται ως οστεοαρθρίτιδα η οποία προσβάλλει τις ΑΦΦ και τις ΕΦΦ, συχνά συνδεόμενη με υμενίτιδα και σχηματισμό κύστεων, ενώ άλλοι την αποκαλούν «φλεγμονώδη οστεοαρθρίτιδα» (Ehrlich, 1972). Οι περισσότεροι συγγραφείς πάντως θεωρούν την ΔΟΑ ως ποικιλία της κλασικής οστεοαρθρίτιδας, αν και υπάρχουν αντικρουόμενες απόψεις κατά πόσον είναι ιδιαίτερη οντότητα ή κάποια φάση της οζώδους ΟΑ.
ΕΠΙΔΗΜΙΟΛΟΓΙΑ
Συχνότητα
Η OA των χεριών εκτιμάται ότι προσβάλλει το 70% των ατόμων ηλικίας άνω των 65 ετών (Van Saase et al, 1989; Hochberg, 1991). Η ΔOA πιστεύεται ότι είναι μια σχετικά ασυνήθιστη κλινική υποομάδα οστεοαρθρίτιδας, παρατηρούμενη στο 5-15% των ασθενών με συμπτωματική ΟΑ των χεριών (Ehrlich, 2001).
Φύλο
Η ΔOA προσβάλλει κυρίως μετεμμηνοπαυσιακές γυναίκες, σε πολύ μεγαλύτερη αναλογία (12:1) με τους άνδρες (Greenspan, 2003). Σε άλλες μελέτες το ποσοστό των γυναικών με ΔΟΑ υπολογίζεται σε 80% (Anandarajah et al, 2009) έως 91.6% (Punzi et al, 2004).
Ηλικία
Η ΔΟΑ παρατηρείται κυρίως σε άτομα ηλικίας 50-55 ετών (Greenspan, 2003; Punzi et al, 2004).
ΠΑΘΟΛΟΓΙΑ/ΠΑΘΟΓΕΝΕΣΗ
Η αυξημένη καταστροφή του χόνδρου, χαρακτηριστική εκδήλωση της ΟΑ, είναι δευτεροπαθής σε απώλεια της ισορροπίας μεταξύ σχηματισμού και αποδόμησης του χόνδρου. Ενδείξεις αυξημένης αποδόμησης του χόνδρου έχουν προκύψει από μελέτες που έχουν δείξει αυξημένα επίπεδα δεικτών του μεταβολισμού του χόνδρου ασθενών με ΔΟΑ, συγκριτικά με υγιείς μάρτυρες (Silvestri et al, 2004). Η φλεγμονή του αρθρικού υμένα φαίνεται ότι παίζει σημαντικό ρόλο στην αιτιολογία του πόνου στην ΟΑ και ενδέχεται να είναι πηγή φλεγμονωδών κυτταροκινών (Benito et al, 2005; Bondeson et al, 2010; Hill et al, 2007). Στη διάρκεια της φλεγμονώδους φάσης της ΔΟΑ παρατηρείται υπερπλασία του αρθρικού υμένα (Peter et al, 1966). Παρόμοια, άλλοι ερευνητές (Goldie et al. 1973) έχουν παρατηρήσει χρόνιες φλεγμονώδεις αλλοιώσεις του υμένα των ΑΦΦ αρθρώσεων σε ασθενείς με ΔΟΑ. Η υμενίτιδα της ΔΟΑ μπορεί να αποκαλυφθεί με το υπερηχογράφημα και την MRI (ΕΙΚΟΝΑ 1d) (Tan et al, 2005; Grainger et al, 2007; Vlychou et al, 2009). Η ανάλυση του αρθρικού υγρού μπορεί να δείξει ήπια φλεγμονώδη αρθρίτιδα (Belhorn et al. 1993)
O σχηματισμός οστεοφύτων και η οστική σκλήρυνση είναι ένδειξη ότι ο οστίτης ιστός συμμετέχει στη διαδικασία της ΔΟΑ, ενώ οι βλάβες των πλάγιων συνδέσμων μπορεί να προηγούνται της αρθρικής νόσου σε ασθενείς με ΟΑ των χεριών (Tan et al, 2005).
Ο ρόλος των φλεγμονωδών κυτταροκινών
Ο ρόλος των φλεγμονωδών κυτταροκινών στην παθοφυσιολογία της ΔΟΑ δεν έχει πλήρως κατανοηθεί, αλλά υπάρχουν έμμεσες ενδείξεις ότι οι κυτταροκίνες συμμετέχουν στη διαδικασία της αρθρικής βλάβης η οποία χαρακτηρίζει την ΔΟΑ.
Οι ασθενείς με ΔΟΑ έχουν υψηλά επίπεδα IL-2 συγκριτικά με ασθενείς με ΟΑ των χεριών χωρίς διαβρώσεις (Punzi et al, 1996). Άλλες μελέτες έχουν δείξει συσχέτιση μεταξύ ΔΟΑ και μιας γενομικής περιοχής περιέχουσας τον IL-1 beta 5810 single nucleotide polymorphism (IL-1B 5810 SNP) (Stern et al, 2003).
Ο Silvestri και συν.(2006) παρατήρησαν αύξηση των υποδοχέων της IL-4 στον ορό (sIL-R4) σε ασθενείς με ΟΑ, όπως και με οζώδη ΟΑ των χεριών και ΟΑ του ισχίου και του γόνατος, συγκριτικά με υγιείς μάρτυρες. Η IL-4 επάγει μία αντιφλεγμονώδη δράση μειορυθμίζοντας τις δράσεις της IL-1και του TNF-α. Η αύξηση επομένως του sIL-4R μπορεί να συνδέεται με μείωση της διαθεσιμότητας της IL-4, συμβάλλοντας με τον τρόπο αυτό στην αρθρική βλάβη των ασθενών με ΔΟΑ.
Ο ρόλος της αδιπονεκτίνης
Ο λιπώδης ιστός μπορεί να είναι η κύρια πηγή φλεγμονωδών κυτταροκινών. Η αδιπονεκτίνη, μία πρωτεϊνική ορμόνη εκκρινόμενη από τον λιπώδη ιστό, ρυθμίζει τον μεταβολισμό των λιπιδίων και της γλυκόζης, και, επιπρόσθετα, συμμετέχει στις φλεγμονώδεις διαδικασίες στις καταστρεπτικές αρθροπάθειες (Ehling et al, 2006). Σε ασθενείς με ΔΟΑ έχει παρατηρηθεί αύξηση των επιπέδων της αδιπονεκτίνης, συγκριτικά με ασθενείς με μη διαβρωτική ΟΑ και με υγιείς μάρτυρες (Filkova et al, 2009), ένδειξη ότι η παχυσαρκία συνδέεται με ΟΑ των μικρών αρθρώσεων των χεριών (Cicuttini et al, 1996).
Γενετικοί παράγοντες
H OA των χεριών, ιδιαίτερα όταν συνδέεται με όζους του Heberden και του Bouchard, φαίνεται ότι έχει γενετική βάση (Stecher and Hersh, 1944; Kellgren et al, 1963). Σε ασθενείς με ΔΟΑ έχει ανευρεθεί αύξηση του φαινότυπου της MZα1- αντιθρυψίνης, συγκριτικά με τον φυσιολογικό πληθυσμό (Peter et al, 1966), όπως και μεγαλύτερη συχνότητα αντιγόνου DRB1* 011, συγκριτικά με ασθενείς με οζώδη ΟΑ (Punzi et al, 2004) .
ΚΛΙΝΙΚΕΣ ΕΚΔΗΛΩΣΕΙΣ
Τυπικά, η ΔΟΑ εκδηλώνεται συνήθως με πόνο, διόγκωση και θερμότητα των ΑΦΦ και ΕΦΦ αρθρώσεων των χεριών. Ο πόνος συχνά παρουσιάζεται αιφνιδίως και ακολουθείται στις περισσότερες περιπτώσεις από διαλείποντα φλεγμονώδη επεισόδια με προοδευτική καταστροφή των αρθρώσεων (Anandarajah et al, 2009). Η ΔOA συνδέεται ακόμα με πρωινή δυσκαμψία, η οποία μπορεί να διαρκεί έως και μίαν ώρα, θυμίζοντας περισσότερο φλεγμονώδες ρευματικό νόσημα, όπως η ρευματοειδής αρθρίτιδα.
Άλλη χαρακτηριστική εκδήλωση της ΔΟΑ είναι η διαξιφιστική παραισθησία (Belhorn and Hess, 1993).
Τυπικά, η ΔΟΑ είναι αμφοτερόπλευρη και συμμετρική, και οι ΑΦΦ προσβάλλονται συχνότερα από τις ΕΦΦ. Από τις ΑΦΦ αρθρώσεις, η 2η και 3η προσβάλλονται συχνότερα ακολουθούμενες από την 4η και 5η (Punzi et al, 2004).
Εκτός από τα χέρια, η ΔΟΑ μπορεί να προσβάλει και τα δάκτυλα των ποδιών (Ehrlich, 1972; McKendry, 1985; Mas and Rotes-Querol, 2007; Anandarajah et al, 2009), όπως και, σπάνια, μεγάλες αρθρώσεις (Ehrlich, 1972; Keats et al, 1981).
Η κλινική εξέταση συχνά αποκαλύπτει ευαισθησία και την παρουσία όζων του Heberden και του Bouchard. Μπορεί επίσης να παρατηρηθούν παραμορφώσεις με την μορφή υπεξαρθρημάτων, συγκάμψεων και αγκύλωσης των δακτύλων. Η επιδείνωση των παραμορφώσεων συχνά οδηγεί σε εξασθένηση της λειτουργικότητας των χεριών.
Οι ασθενείς με ΔΟΑ έχουν εντονότερο πόνο, χειρότερη λειτουργικότητα των χεριών και βαρύτερες ακτινολογικές αλλοιώσεις από τους ασθενείς με οζώδη ΟΑ των χεριών που δεν έχουν ακτινολογικές διαβρώσεις (Patrick et al, 1989).

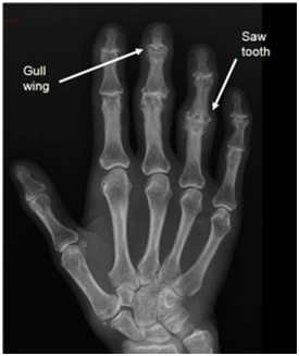
ΕΙΚΟΝΑ 1a. Τυπικές ακτινολογικές αλλοιώσεις ΔΟΑ : «Φτερά γλάρου» και διαβρώσεις τύπου «οδόντων πριονιού»
ΑΚΤΙΝΟΛΟΓΙΚΑ ΕΥΡΗΜΑΤΑ
Η ΔOA χαρακτηρίζεται από την παρουσία διαβρώσεων συχνά σε συνδυασμό με οστική υπερπλασία, η οποία μπορεί να ποικίλλει σε έκταση. Τα κλασικά ακτινολογικά ευρήματα συνίστανται σε κεντρικές διαβρώσεις, κατάρρευση του υποχόνδριου ιστού και ενδοστικές οστικές συντήξεις (Ehrlich, 1972; McKendry, 1985). Στένωση του μεσάρθριου διαστήματος και υποχόνδρια σκλήρυνση παρατηρείται συχνά σε συνδυασμό με τα παραπάνω ευρήματα. Οι κεντρικές διαβρώσεις και οι επιχείλια οστεοφύτωση συχνά οδηγούν στη παραμόρφωση τύπου «φτερών γλάρου», που είναι και η ακτινολογική σφραγίδα της νόσου (Martel et al, 1980) (EIKONA 1a).
Αλλα ακτινολογικά ευρήματα
- Διαβρώσεις τύπου «οδόντων πριονιού» (EIKONA 1a), οι οποίες συχνά οδηγούν σε αγκύλωση (Greenspan, 2003).
- Παραμόρφωση δίκην τηλεσκοπίου ή «κυαλιών θεάτρου» (Greenspan, 2003; Swezey and Alexander, 1971).
- Αγκύλωση, στο 15% των ασθενών με ΔΟΑ
- Διόγκωση των μαλακών μορίων και αρθρικές συλλογές (Punzi, 2004).
Οι κλασικές ακτινολογικές αλλοιώσεις της ΔΟΑ παρατηρούνται στις ΑΦΦ και τις ΕΦΦ αρθρώσεις. Εχουν επίσης περιγραφεί στα πόδια, γόνατα, ισχία, ώμους και ΣΣ (Belhorn and Hess, 1993; Keats, 1981; Swezey and Alexander, 1971; Utsinger et al, 1978).
ΥΠΕΡΗΧΟΓΡΑΦΗΜΑ
Το υπερηχογράφημα είναι περισσότερο ευαίσθητο από τις απλές ακτινογραφίες στην εντόπιση των οστικών διαβρώσεων και έχει το πλεονέκτημα ότι ανιχνεύει παράλληλα και τις αλλοιώσεις των μαλακών μορίων στα μυοσκελετικά νοσήματα (Grassi et al, 2001).

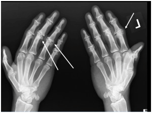
ΕΙΚΟΝΑ 1b. Εκτεταμένη οστεοφύτωση σε ασθενή με ΔΟΑ
Στη διαβρωτική ΟΑ το υπερηχογράφημα υψηλής ευκρίνειας δείχνει τις κεντρικές διαβρώσεις και τα οστεόφυτα, την πάχυνση του αρθρικού υμένα, συλλογή υγρού και τενοντοελυτρίτιδα (Grassi et al, 2000; Iagnocco et al, 2005; Vlychou et al, 2009).

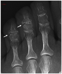
ΕΙΚΟΝΑ 1c. Διαβρώσεις των φαλαγγοφαλαγγικών αρθρώσεων των ποδιών σε ασθενή με ΔΟΑ των χεριών και των ποδιών
ΜΑΓΝΗΤΙΚΗ ΤΟΜΟΓΡΑΦΙΑ
Η MRI υψηλής ευκρίνειας αναδεικνύει συχνά τις διαβρώσεις (Grainger et al, 2007). Οι οριακές διαβρώσεις συνδέονται με την παρουσία οιδήματος του μυελού των οστών και υπερτροφία του αρθρικού υμένα.

ΕΙΚΟΝΑ 1d. Μαγνητική τομογραφια σε ασθενή με ΔΟΑ : διαβρώσεις (διακοπτόμενο βέλος), υμενίτιδα (μακρύ βέλος) και οίδημα του μυελού των οστών (κοντό βέλος)
ΔΙΑΓΝΩΣΗ
Η διάγνωση της ΔΟΑ γίνεται από την κλινική εικόνα, τους φυσιολογικούς δείκτες οξείας φάσης, τον αρνητικό ρευματοειδή παράγοντα ή/και αντι-CCP και την ακτινολογική απεικόνιση των διαβρώσεων (ΒΛ. ΠΙΝΑΚΑ 1).
ΠΙΝΑΚΑΣ 1. Προτεινόμενα διαγνωστικά κριτήρια διαβρωτικής οστεοαρθρίτιδας
- Οστεοαρθρίτιδα των χεριών με βάση το ACR (American College of Rheumatology)
- Διαβρώσεις σε 2 τουλάχιστον φαλαγγοφαλαγγικές αρθρώσεις εκ των οποίων η 1 πρέπει να είναι ΑΦΦ
- Αρνητικός ρευματοειδής παράγοντας ή/και αρνητικά αντι-CCP
- Απουσία ατομικού ή οικογενειακού ιστορικού ψωριασικής αρθρίτιδας
- Απουσία ιστορικού ουρικής αρθρίτιδας και χονδρασβέστωσης των χεριών
- Παρουσία κεντρικών υποχόνδριων διαβρώσεων
- Φυσιολογική (ή σχεδόν φυσιολογική) ΤΚΕ
- Φυσιολογική (ή σχεδόν φυσιολογική) CRP
ΣΗΜΕΙΩΣΗ : Τα 2 πρώτα κριτήρια είναι απαραίτητα για την διάγνωση της ΔΟΑ, ενώ τα 3 τελευταία βοηθούν στη διάγνωση
ΔΙΑΦΟΡΙΚΗ ΔΙΑΓΝΩΣΗ
- Μη διαβρωτική οστεοαρθρίτιδα
- Ουρική αρθρίτιδα
- Ρευματοειδής αρθρίτιδα
- Ψωριασική αρθρίτιδα
- Ψευδουρική αρθρίτιδα
Οστεόφυτα, όζοι του Heberden και του Bouchard και στένωση του μεσάρθριου διαστήματος μπορεί να παρατηρηθούν τόσο στην ΔΟΑ, οσο και στην οστεοαρθρίτιδα, αλλά κεντρικές διαβρώσεις είναι χαρακτηριστικές μόνο της ΔΟΑ. Αστάθεια και αγκύλωση των φαλαγγοφαλαγγικών αρθρώσεων παρατηρείται αποκλειστικά στην ΔΟΑ, συγκριτικά με την ΟΑ.
Συγκριτικά με τις κεντρικές διαβρώσεις της ΔΟΑ, οι διαβρώσεις της ΡΑ τυπικά αναπτύσσονται στα όρια της άρθρωσης και δεν οδηγούν στην χαρακτηριστική εικόνα των «φτερών του γλάρου» που παρατηρείται στη ΔΟΑ. Η εικόνα αυτή δημιουργείται από κεντρικές διαβρώσεις στην εγγύς πλάκα, με επιχείλια υπερπλασία της περιφερικής πλάκας στις ΕΦΦ και ΑΦΦ αρθρώσεις.
Στην ψωριασική αρθρίτιδα παρατηρούνται επιχείλιες διαβρώσεις στην εγγύς πλάκα και επιχείλια περιοστίτιδα στην περιφερική πλάκα των ΑΦΦ αρθρώσεων.
Στην ουρική αρθρίτιδα, υπάρχουν τοφώδεις εναποθέσεις και οι διαβρώσεις παρατηρούνται ως «προεξέχουσες γωνίες». Η εικόνα αυτή δεν παρατηρείται στην ΔΟΑ (GreenspanA, 2003; Punzi L e tal, 2004)
ΘΕΡΑΠΕΙΑ
Όπως και στην ΟΑ, η θεραπεία της ΔΟΑ περιορίζεται στον έλεγχο των συμπτωμάτων.
Μη φαρμακολογικές θεραπείες
- Υγρή θερμότητα
- Παραφινολουτρα
- Νάρθηκες
- Ασκήσεις εύρους κίνησης
Φάρμακα
Τα αναλγητικά (π.χ. ακεταμινοφαίνη) και τα ΜΣΑΦ συνήθως προσφέρουν μέτριο έλεγχο των συμπτωμάτων.
Ενδαρθρικές εγχύσεις κορτιζόνης
Οι ενδαρθρικές ενέσεις κορτιζόνης μπορεί να βελτιώσουν μερικούς ασθενείς με ΔΟΑ (Utsinger et al, 1978). Πάντως, προσφέρουν μόνο προσωρινή ανακούφιση, συνήθως είναι επώδυνες στις μικρές αρθρώσεις των χεριών και δεν προλαβαίνουν την ανάπτυξη των διαβρώσεων.
Θειική χονδροϊτίνη
Αρκετές μη τυχαιοποιημένες, placebo-ελεγχομενες μελέτες αναφέρουν ελάττωση του πόνου και αναστολή της εξέλιξης των ακτινολογικών διαβρώσεων μετά από θεραπεία με θειική χονδροϊτίνη (Rovetta et al, 2002; Rovetta et al, 2004; Verbruggen, 2006).
Σε μία τυχαιοποιημένη, διπλή-τυφλή, placebo-ελεγχόμενη μελέτη, από τους 119 ασθενείς με ΟΑ των χεριών, οι 34 θεραπεύθηκαν με θειική χονδροϊτίνη και οι υπόλοιποι 85 πήραν εικονικό φάρμακο (Verbruggen et al, 1998). Μετά από 3 χρόνια, διαβρώσεις παρατηρήθηκαν ακτινολογικά στο 29.4% των ασθενών που πήραν εικονικό φάρμακο, συγκριτικά με 8.8% αυτών που θεραπεύθηκαν με θειική χονδροϊτίνη.
ΤΡΟΠΟΠΟΙΗΤΙΚΑ ΤΗΣ ΝΟΣΟΥ ΑΝΤΙΡΕΥΜΑΤΙΚΑ ΦΑΡΜΑΚΑ (DMARDS)
Ανθελονοσιακά
Μερικές μελέτες έχουν δείξει ότι η υδροξυχλωροκίνη είναι καλά ανεκτή και μπορεί να βελτιώσει τους δείκτες της φλεγμονής σε ασθενείς με ΔΟΑ (Bryant et al, 1995; Punzi et al, 1996). Η ωφέλιμη δράση της υδροξυχλωροκίνης στη ΔΟΑ φαίνεται ότι οφείλεται στην ανασταλτική της δράση στη λυσοσωμική φωσφολιπάση Α, την IL-1 και την IL-2.
Σε ανοιχτή τυχαιοποιημένη πιλοτική μελέτη διάρκειας 24 μηνών, 24 ασθενείς θεραπεύθηκαν με κλοδρονάτη 300 mg ΕΦ επί μίαν εβδομάδα, ακολουθούμενη από 100 mg κλοδρονάτης ενδομυικά επί 14 ημέρες κάθε 3 μήνες. Παράλληλα, 14 ασθενείς με ΔΟΑ θεραπεύθηκαν με υδροξυχλωροκίνη 400 mg ημερησίως επί 30 ημέρες και στη συνέχεια 200 mg ημερησίως επί 11 μήνες (Saviola G et al, 2011). Οι ασθενείς που θεραπεύθηκαν με κλοδρονάτη είχαν σημαντική μείωση του πόνου και του αριθμού των ευαίσθητων αρθρώσεων και βελτίωση της μυικής ισχύος των χεριών και της σφαιρικής εκτίμησης του γιατρού και του ασθενούς. Αντίθετα, η υδροξυχλωροκίνη δεν είχε κανένα αποτέλεσμα.
Μεθοτρεξάτη – χρυσός per os
Η μεθοτρεξάτη και ο χρυσός από το στόμα έχουν χρησιμοποιηθεί σε διάφορες μελέτες για την θεραπεία της ΔΟΑ, αλλά μέχρι σήμερα δεν έχουν ανακοινωθεί τα αποτελέσματά τους (Belhorn and Hess, 1993). Πάντως, κανένας από τους παράγοντες αυτούς δεν αναστέλλει την ακτινολογική εξέλιξη των διαβρώσεων.
ΒΙΟΛΟΓΙΚΟΙ ΠΑΡΑΓΟΝΤΕΣ
Μερικοί βιολογικοί παράγοντες έχουν χρησιμοποιηθεί στην θεραπεία της ΔΟΑ, δεδομένου ότι, όπως αναφέρθηκε, η IL-1 και ο TNF-α παίζουν σημαντικό ρόλο στην παθογένεση της ΟΑ (Kobayashi et al, 2005).
Anakinra
Τρείς ασθενείς με σοβαρή ΔΟΑ που θεραπεύθηκαν με ανακίνρα είχαν βελτίωση του πόνου και της σφαιρικής εκτίμησης του ασθενούς και διέκοψαν τα ΜΣΑΦ (Bacconnier et al, 2009).
Infliximab
Σε μία πιλοτική μελέτη, 10 ασθενείς με ΔΟΑ δέχθηκαν ενδαρθρικές εγχύσεις ινφλιξιμάμπης στις ΕΦΦ και ΑΦΦ αρθρώσεις, συγκριτικά με ενέσεις φυσιολογικού ορού (Fioravanti et al, 2009). Μετά από 12 μήνες οι ασθενείς που θεραπεύθηκαν με ινφλιξιμάμπη είχαν σημαντική μείωση του πόνου και της ευαισθησίας, όπως και ελάττωση του ακτινολογικού σκορ, χωρίς όμως στατιστική σημασία.
Adalimumab
Σε ανοιχτή σημασμένη μελέτη 12 ασθενείς με μέτρια έως σοβαρή ΔΟΑ θεραπεύθηκαν με αδαλιμουμάμπη 40 mgκάθε 2η εβδομάδα επί 12 εβδομάδες. Ολοι είχαν 2 ή περισσότερες ευαίσθητες ή διογκωμένες αρθρώσεις και 1 ή περισσότερες διαβρώσεις στις ΕΦΦ ή ΑΦΦ αρθρώσεις (Magnano et al, 2007). Μετά από 12 εβδομάδες μόνο ένας ασθενής είχε ανταπόκριση ACR 20 (δηλ. βελτίωση μόνο του αριθμού των διογκωμένων αρθρώσεων).
Σε πρόσφατη διπλή τυφλή, τυχαιοποιημένη μελέτη 60 ασθενών με ΔΟΑ, η αδαλιμουμάμπη ανέστειλε σημαντικά την εξέλιξη της αρθρικής βλάβης συγκριτικά με placebo (Ghent University Score System; GUSSTM)(3.7%, συγκριτικά με 14.5%) (P = 0.009) (Verbruggen G et al, 2011).
Αλλα φάρμακα
Σε μία ανοιχτή τυχαιοποιημένη μελέτη [Saviola G et al, 2012] η κλοδρονάτη (300 mg ενδοφλεβίως επί 7 ημέρες, ακολουθούμενη από 100 mg επί 14 ημέρες κάθε 3 μήνες) εμείωσε σημαντικά τον πόνο και τον αριθμό των ευαίσθητων αρθρώσεων, ενώ η υδροξυχλωροκίνη δεν είχε αποτέλεσμα.
Σε μία πιλοτική μελέτη [Shirinsky IV and Shirinsky VS, 2014], η θεραπεία μεφαινοφιμπράτη (145 mg ημερησίως) εμείωσε σημαντικά τον πόνο, τον αριθμό των ευαίσθητων αρθρώσεων, την διάρκεια της πρωϊνής δυσκαμψίας, την ΤΚΕ, τον δείκτη Cochin και το σκορ της δραστηριότητας της νόσου.
ΤΕΛΕΥΤΑΙΑ ΕΝΗΜΕΡΩΣΗ 27/12/15
Ρευματολόγος - Παιδορευματολόγος
Ολιστικός Ιατρός
Τέμπος Κ.
Dr Κωνσταντίνος Τέμπος MD Ρευματολόγος - Παιδορευματολόγος Ολιστικός Ιατρός

